Cabinet d'orthodontie Enfants-Adultes à Nancy
Docteur Ann Dorothée MOUGIN-CLAUDON, spécialiste qualifiée en Orthopédie dento-faciale
ACCUEIL
LE CABINET
PLAN D'ACCÈS
EQUIPE
FICHES CONSEILS
URGENCES
EN SAVOIR PLUS
ACCUEIL
LE CABINET
PLAN D'ACCÈS
EQUIPE
FICHES CONSEILS
URGENCES
EN SAVOIR PLUS
Cabinet d'orthodontie Enfants-Adultes à Nancy
25 Avenue du XXième Corps
54000
NANCY
+33 3 83 35 52 97
Docteur Ann Dorothée MOUGIN-CLAUDON, spécialiste qualifiée en Orthopédie dento-faciale
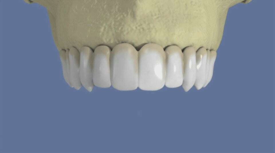
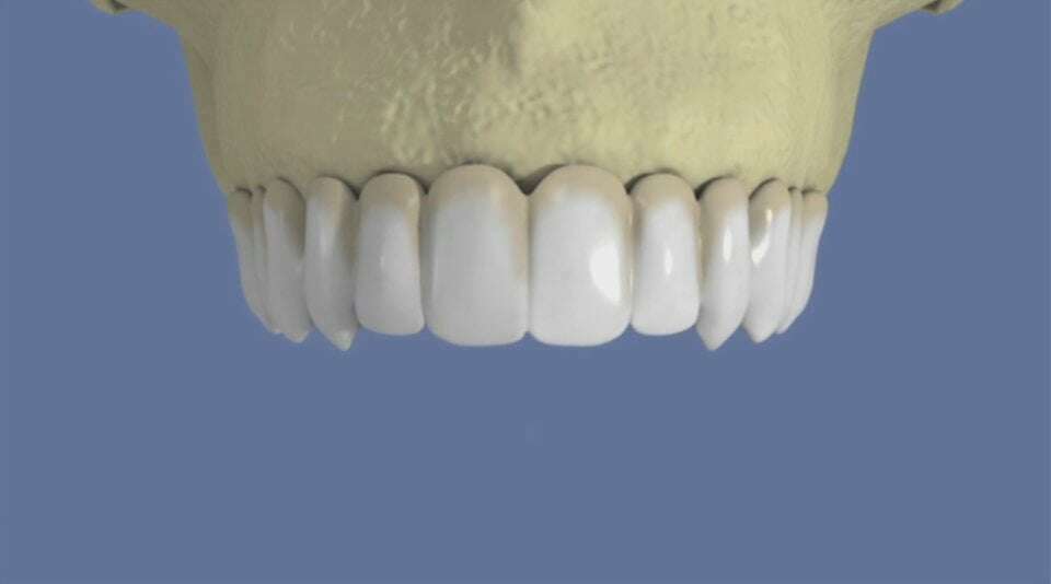
Maxillaire : bridge vissé sans fausse gencive
Vidéos 3D
Partager
Twitter
Partager
Partager
Envoyer
Copier
Cabinet d'orthodontie Enfants-Adultes à Nancy
25 Avenue du XXième Corps
54000
NANCY
+33 3 83 35 52 97
Conditions Générales Utilisation
Mentions légales
Politique de confidentialité et charte cookie
Charte déontologique
Ordre national
Annuaires chirurgiens dentistes
Création par
Connexion